
牙齒多刷更健康?錯!不正確的刷牙方式會把牙齒刷壞!
最近小郎中從口腔科臨床一線得到了這麼三個「病例」,由於不正確的刷牙方法,這三位患者的牙齒均受到不同程度的損害,而不得不接受複雜的牙科治療。
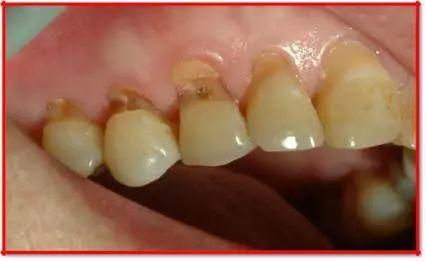
而這些刷牙的壞習慣,每個人都犯過!前方圖片高能,請大家做好準備!

病例一:男,40 歲,牙齒常常酸痛。他的楔狀缺損是由於不正確的刷牙方法引起的,其楔狀缺損較淺,沒有涉及牙髓,可以通過充填方法治療

病例二:女,55 歲,每天用力刷牙。右側近期出現酸軟。可見牙齒表麵整齊、堅硬、光滑的楔狀缺損。這屬於中度損傷,需要墊底以保護牙髓,再充填。

病例三:女,34歲。由於她特別喜歡使用硬毛牙刷、用力橫刷,這樣長期採用拉鋸式橫刷牙的方式,牙齒表麵形成楔狀缺損。她已經較嚴重,引起牙髓炎了,需要根管治療以後再充填修補。

——以上病例摘錄於:口腔視界(dental35)
錯誤的刷牙習慣有哪些?

1冷水刷牙
冷水會導致牙本質敏感的人牙齒酸痛,且不利於牙膏內有效物質發揮活性。
2牙刷大小不合適
牙刷太大,在口腔內轉動不夠靈活,無法清潔後麵的牙齒。
3硬毛牙刷傷牙齦
硬毛牙刷會導致牙齦出血、牙齦損傷,甚至牙齦萎縮。

4總是橫向刷牙
多數人採用橫向刷牙的方式,時間久了,會引起牙齒頸部的禊狀缺損,造成牙齒頸部敏感、酸痛。
5刷牙太使勁
刷牙太用力,可能會傷害牙齒,也會傷害到牙齦,引起口腔潰瘍。
6刷牙時間過長
刷牙的時間過長或者過短都不科學,時間過短,達不到清潔牙齒的目的;刷牙的時間過長,可能傷及牙齦。
正確的刷牙方法在這裡
1牙刷的選擇
牙刷的選擇:牙刷頭一般選擇長度為能覆蓋兩個以上牙齒(2.5~3cm)為宜,牙刷柄長度、寬度適中,牙刷應定期更換,最長不應超過3個月。
2牙膏的選擇
建議使用含氟牙膏,超過3周歲的兒童即可開始使用含氟牙膏。
3溫水刷牙
牙膏中的主要成分是摩擦劑和氟、化物,研究發現,37℃左右的溫水有助於有效成分發揮作用。
4麵麵俱到
無論哪種方法,確保刷到每個牙齒的牙麵,勿遺漏。
5力度的選擇
手動牙刷的話,牙刷毛應緊貼牙齒,刷毛尖端 1/3 受壓彎曲,深入到牙齒周圍的邊邊角角中。

6幅度選擇
正確的方式是震顫,一種小幅度的水平運動,幅度不超過一兩顆牙的寬度,一顆牙、一顆牙,從前到後、從後到前,一路刷過去。
不要大開大闔拉鋸式刷牙,因為幅度大了,力量就不好控製,時間久了,牙會刷壞的。
7刷毛角度
我們刷牙的目的,是要把牙菌斑刷掉,而它恰恰就就容易長在牙齒的中下三分之一靠近牙齦的位置,甚至長在牙齒和牙齦之間的間隙中。
所以,只有刷毛與牙齒保持斜 45 度時,才能把菌斑有效清除乾淨。
8刷牙時間3分鐘
科學刷牙時間為3分鐘,時間過短尚不能有效清潔牙齒,時間過長可能造成牙齒損傷。
9使用好牙線
用牙籤剔牙會導致牙縫變大、損傷牙齦。建議改用牙線,牙線可有效清除牙縫中的殘渣
10每周刷一次舌頭
因為舌苔上生活著許多細菌,有一些是導致蛀牙、牙周炎等疾病的致病菌,還會導致口臭,所以經常刷刷舌頭有助於保持口腔健康。
需要注意的是,刷舌頭時,不要太用力,可以用牙刷刷頭輕刷,而有些牙刷刷毛的背麵也會有橡膠製的刷舌區域。
