
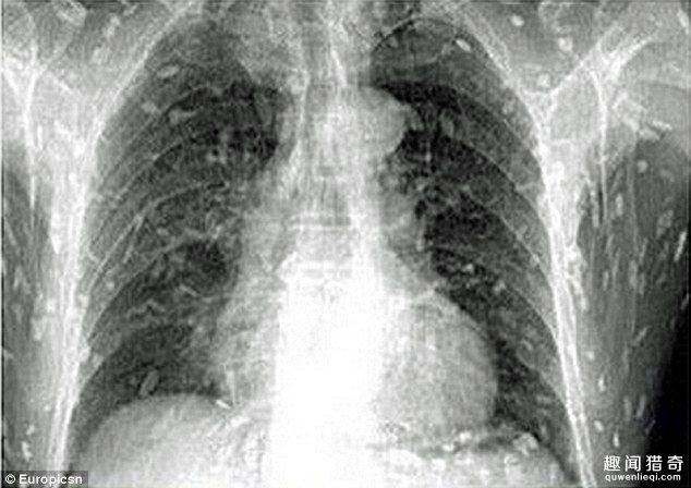
相信不少人都非常喜歡吃生魚片,近日,一名男子卻因為過度食用生魚片而差點喪命。 據報道,這名男子因為腹痛和皮膚瘙癢而前去醫院就診,在X光下顯示了這駭人的一幕。

這名男子的身上已經全是寄生蟲,看了讓人頭皮發麻。 醫生認為他是因為吃了太多的生魚片,才會有如此嚴重的感染。 目前他正轉往廣州市第八人民醫院接受治療。

研究顯示吃生肉或者生魚都有感染寄生蟲的風險。如果通過食用像鮭魚等魚類吃下寄生蟲幼蟲的話,就會有絛蟲感染的風險。 絛蟲感染的案例在發展程度較高的國家也逐年增加,醫生推測這是因為壽司和生魚片普及程度越來越高的原因。

