位於日本東京市中心的順天堂醫院,擁有享譽世界的兒童外科,很多在其他醫院醫治不好的、染上了疑難雜症的孩子,都會被送到這裡治療。

全因為,這所醫院擁有一位享譽世界的兒童外科醫生——山高篤行。

山高醫生是個在外人看來有些古怪的人,他每天上班都帶著好幾個大的行李箱,總是一副要搬家的樣子,其實,他的箱子裡裝的全是最近的病例文件,他習慣走到哪兒都帶著。

走進他辦公室,文件全部都擺在地上,山高醫生表示,自己習慣頭一天把重要文件都擺在地上,每一個都貼好了便利貼,他第二天一進來就能看見,知道要立刻開始做什麼。

他辦公室裡,每一張紙都必須擺放得整整齊齊,稍微搞亂一點就會惹他暴走。

隨身攜帶的厚厚的記事本上,做完一件事就用黑筆仔細地塗掉。

這位看起來很龜毛,還有點完美主義和強迫症的山高醫生,卻是擁有高超醫術,號稱日本兒童內視鏡手術開拓者的頂尖兒科醫生。
和成年病人不同,兒童病人體格小,在他們身上做內視鏡手術宛如微雕藝術,需要極其精湛的技術。
另外,兒童身上的疑難雜症也非常多,很多兒童生來就有內臟病變,在未發育之前,每個孩子體質也不一樣,甚至,同樣的病在不同的孩子身上表現出來的症狀也大不相同。
可以說,每一次手術都是一次全新的挑戰,需要為孩子量身定做。

山高醫生行醫十多年,病人群體涵蓋了從新生兒到15歲的青少年,他屢屢挑戰高難度病例,經他手術醫治成功的疑難雜症兒童超過1萬例,在日本兒童外科領域獨占鰲頭。

然而,誰能想到,這位如今的日本兒童外科泰斗,手術台上的戰士,曾經是個和自己的過度憂慮、強迫症做長期鬥爭的怯懦男孩,還差點為此放棄了當醫生的夢想。
山高醫生的故事,值得從頭說起...
山高篤行出生在橫濱一個醫生世家,小的時候,他常常在父親的醫院從手術室門上的圓窗往裡面偷看父親手術。

耳濡目染,他開始有了模糊的念頭:追隨父親成為一名外科醫生。
然而,對這個念頭,他也不是很堅定,因為他本人從小就有個毛病,總是對事情過分擔心,山高也很討厭自己這樣的心理狀態,卻無能為力。
此外,他還有點強迫症,總是一邊又一邊,瘋狂地檢查各種東西。
父親評價他年少時期表示:「他永遠也忘不了學生時代學到的東西,永遠在憂心忡忡地做各種準備…當然,好處就是,他從來沒落過任何東西。」

山高還發現了自己成為醫生的另一個障礙——膽怯:
「我膽小,害怕出錯,非常非常害怕…」
這種害怕累計到了一定程度,內心就會開始退縮,山高一度覺得,自己可能當不了醫生。
想想看,每一次手術,都要承擔一條生命的風險,責任太重大了!
而自己呢?連犯個小錯都怕得要死...
好在,救死扶傷的雄心依然促使山高努力前行,他考進了醫學院,並嘗試改變自己的個性,他開始勇敢挑戰自己從來沒嘗試過的運動:橄欖球。
一次,他因為訓練太拼命,磕掉了門牙,這樣的磨礪也給了他成為外科醫生的勇氣:
原來,失敗並沒有那麼可怕,可怕的是未知的恐懼,不去做,永遠不知道結果...

那時候的山高並不知道,他的完美主義強迫症,對他的醫生職業其實是有利的,可是,他害怕犯錯的個性,卻成為了一把雙刃劍。
剛做醫生那會兒,他做了不少完美的手術,治好了不少病人,所以,很長時間以來,大家公認他是下刀最準的醫生,從不犯錯。

但是,面對疑難病症的挑戰,他竟然很快就退縮了。
那年,他診治一名叫富岡托雅的小男孩。

富岡托雅很小的時候食管就斷了,其他醫院的醫生從他的腸子上取了一段給他接在斷裂處,
為了不在胸腔冒險,醫生選擇了把腸子放在胸腔外面,於是小朋友的胸口就有了一個難看的突起。


然而,托雅漸漸長大,他胸前突起的那一大坨遭受了其他孩子的百般嘲笑,他為此無比鬱悶,母親不想托雅這麼難受地過一輩子。

她帶著托雅找到山高醫生,希望他能做手術,把托雅的那段腸子裝到他胸腔裡。
把腸子封進胸腔內,並不是把封在外面的腸子剪下來,再換個位置接上去那麼簡單,這需要打開胸腔腹腔和喉嚨,這一大片地區有肺,心臟,頸部大動脈,涉及到的棘手問題實在太多了。

山高和同事討論了很久,又翻閱了過去的病例,發現以前根本沒人做過類似的手術,他想來想去都覺得,沒有合適的治療方法,同事也勸他,這是個不可能完成的任務,風險太大,萬一失敗,孩子的後半輩子可能都毀了。
於是,山高把自己的擔憂告訴了自己熟識的一位教授,理由非常充分:「我覺得就算做手術,也不一定幫得了托雅,不如不做...」
教授看著他,一針見血說到:「不要說幫不到他,你就是想放棄,害怕失敗,害怕毀了你的完美紀錄。」

這番話徹底驚醒了山高,他開始深入內心,認真思考這個問題:
「我又害怕犯錯了,又要逃避嗎?是治病救人重要,還是維護自己的完美紀錄重要?!」
答案不言而喻,山高下定了決心,他拿出了大學攻克論文的精神,一頭扎進圖書館,瘋狂查閱海外醫學文獻。

最後,一個初步的治療方案總算有了雛形,之後山高發現,只要他像過去讀書時一樣,用盡全力去做準備,一遍又一遍檢查,推演,就能看到成功的希望。

檢查和推演的次數越多,手術方案的潛在風險就越來越小,最後,他終於有了90%的把握,勇敢地走上手術台,完成了這意義重大的一次手術。

這次手術中,山高打開托雅的胸腔,把胸肋骨外的腸子封到胸腔內,成為醫學史上首例獲得成功的這類手術!
手術後的托雅完全能像正常孩子一樣生活了。

這一次手術,也成為山高職業生涯的轉折點,從那以後,他再也不畏懼疑難雜症,不畏懼從未遇到的病例,他對此感慨到:
「任何艱難的事,只要敢去做,一步步去準備,即使一開始看似不可能,最終都會看到勝利的曙光...
漸漸地,你開始覺得自己能做到,這個病例給我上了人生中最重要的一課!」
之後,山高開啟了自己不斷挑戰自我的職業生涯,他成為日本實施內視鏡手術最多的外科醫生,包括在阻塞的膽管上進行的手術。
在行醫中,他不斷完善自己的性格缺陷,雖然因為強迫症經常容易暴走,但他一絲不苟地每天在筆記本上記下「微笑」這個要點:
「我總是一轉身就生氣,所以得時刻提醒自己」。

這些年,他改不了的,依然是自己過分擔心和害怕犯錯的毛病:
「我很膽小,或者說我很緊張,只要有一台大手術要做,我就會很害怕…因為害怕,我只有瘋狂地努力學習。」
「每接到一個病人,一開始我都不確定能不能治好他,經過仔細的診斷和充分的準備,我才會有一點能治癒他們的信心。」
然而,也因為這樣的性格,山高會無比精心地準備一次手術,猶如規劃一場大規模的戰鬥,在手術時,他也會無比謹慎地操作。
他曾經需要給一個8個月大的嬰兒做腸復位手術。

這個嬰兒,腸子比正常位置低了很多,手術需要極高的精準度,手術難度非常大,嬰兒體型太小,他只能切開一個兩公分的小口。

任何稍微用力的觸碰,都有可能撕裂嬰兒細小的組織。
「這一塊,只能用70%左右的力道。」

手術中,山高不停在重複的一個詞是:「輕點,輕點!」
他表示:「雖然我性子急,但我做手術時從來不著急,因為我不想犯一丁點錯誤,要知道,手術中的錯誤,造成的後果幾乎是永久性的,而他們的生命才剛剛開始。」

他還表示,手術的最後階段尤為重要:「人越接近終點,越容易著急,就越應該慢下來,以免功虧一簣!」
這是山高經歷了一萬次手術,總結出來的經驗。
儘管治好了無數疑難雜症,攻克了許多前無古人的病例,山高依然遇到過手術失敗的時候。
2014年,山高診治了一名叫里吉的小男孩,三年來,他的肋部一直疼痛,去了很多醫院都沒有找到病因,很多醫生都放棄了他,一家人只好慕名來找山高醫生。

山高經過診斷,決定為他切除疼痛部位的神經,這一次,儘管山高廢寢忘食地做了精心的準備,結果卻並不理想,手術之後,里吉表示,做過手術的部位不痛了,另一邊卻開始疼得厲害。

得知這一結果的山高非常自責,他認真地向里吉道歉:「我真的非常抱歉!我以為我找到了病根...」

從挫折中恢復過來山高下定決心:「如果我像以前一樣逃避,就不能找到最終的答案!」

他和同事們一起討論研究,為里吉注射局部麻醉,一處一處地試,想找出病灶所在位置。

經過兩天的診治,他們終於找到了那條引發痛疼的,在腹部中埋藏很深的神經,最終為里吉治好了多年的疼痛。

山高醫生的挑戰還沒有結束,不久之後,他將迎來職業生涯的巔峰之戰,多年來,他為改進自己所做的種種努力,終於迎來了回報。
2014年冬天,一對夫妻帶小女兒來見山高。

這位名叫桐山波琦的小女孩,之前斷斷續續肺炎發作過好多次,原來,她的肺部生長了多處囊腫,因為這些囊腫,去年一場肺炎,差點要了她的命,因此,切除這些病變的部位刻不容緩。

可是,波琦只有3歲大,父母既不想女兒做開胸手術,讓身體承擔太大的傷害,也不想在她胸前留下巨大的切口,唯一的解決途徑就是實施內視鏡手術,而日本國內,能實施兒童內視鏡手術的最合適人選,非山高醫生莫屬。
然而,日本第一台肺部內視鏡手術是2009年做的,也就才五年前,可藉鑑的病例非常有限,如今的山高醫生,面對這樣的挑戰,已經不會再退縮了,他接下了這個艱鉅任務,像久經沙場的老兵,義無反顧地踏上了征程!

像往常一樣,山高做了細緻到極致的準備,設計出了手術方案。

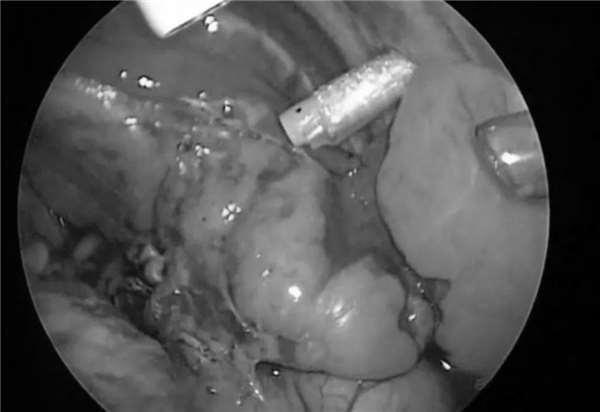
這個手術需要切除波琦的右肺下葉(深色部分)。

但這附近有肺動脈和肺靜脈經過,手術中,必須先止住動脈和靜脈的血流(結紮),然後才能順利切走病變的部分。


這是要在一個3歲女孩的肺上,用內視鏡實施的手術,宛如微雕一般的精細操作,難度係數之高可想而知了。
山高和波琦的父母見面,表示肺部有囊腫的孩子,通常肺部很多地方都會有沾黏,血管很可能藏起來找不到,因此手術依然有不可預料的風險,但他會全力以赴確保成功。

手術前夜,山高一邊研究筆記,一邊在腦海中進行模擬手術,他從各個角度一邊又一邊推演整個手術過程,直到確保手術最終成功為止。
儘管這個過程他已經在腦海中演繹了無數次,但他依然表示:「我還要再看一遍...」

到了第二天,真正的戰鬥打響了,一開始進行得很順利,開口,插管。

儘管在手術前,山高設想了每一個可能發生的意外情況,但是,他最擔心的事還是發生了,波琦的右肺下半葉組織沾黏在一起,擋住了動脈和靜脈。
憑著一萬台手術積累的經驗和勇氣,他沉住氣,不斷提醒手術室的人,也包括他自己:「不要慌,慢慢來...」,器具在波琦的肺泡叢林中艱難游弋,一遍遍反覆觀察、尋找,終於他們找到了那根藏起來的肺動脈。

山高把動脈結紮,然後小心地剪斷了它。

接下來,山高開始尋找靜脈,過了很久,他又在黏合在一起的肺葉深處發現了一條4公分長的靜脈。
終於找到了,那麼按部就班之前的操作就好了吧,結紮,剪斷,然後切除肺葉?

然而,此時的山高卻無比緊張,他發現了一個非常重要的問題,因為,就波琦的身體來說,這條靜脈太細了(通常來說,肺靜脈比肺動脈更粗)。

看起來非常奇怪,山高覺得異樣,決定不貿然動手。
他仔細檢查了周圍組織,居然又發現了另一條靜脈!

一般來說,這個位置,應該只有一條靜脈,而波琦的下肺葉這個位置有兩條靜脈的這種情況非常少見。
山高猜測,可能下肺葉裡第一條靜脈太細的緣故,才又長出了第二條靜脈(真正的肺靜脈),要知道,肺靜脈可是向心臟輸送含氧的動脈血的,是維持人呼吸最關鍵的一條靜脈。

這真是千鈞一發的一刻,山高後來回憶到:「如果我沒有找到真正的肺靜脈止住血,而在切除下肺葉時意外割斷了這條肺靜脈,就會造成大出血,那時,我就不得不打開孩子的胸腔了,孩子的心臟很可能隨時停止跳動。」

山高在最關鍵的一刻,因為自己長期以來過份擔心,行事謹慎獲得了回報,他及時發現了波琦身體的異樣之處,成功避免了一場手術事故!
最終,他剪掉了正確的靜脈,切除了波琦病變的右下半肺葉。

下一步就是要觀察剩下的肺葉能不能正常工作了,手術之後,波琦的肺部開始充滿空氣並膨脹起來,這說明手術成功了。

得知手術成功,波琦的父母喜極而泣,他們並不知道,不久之前的手術室裡,山高醫生經歷了怎樣驚心動魄的一幕。

手術五天以後,波琦已經可以活蹦亂跳了,又過了一段時間來檢查,身體指標一切良好,肺部上的創口也只剩下兩個小小的點。

對於這個結果,山高醫生很滿意,但也習以為常了。

從當初那個怯懦,逃避,害怕犯錯的學生,到如今的濟世名醫,手術台上的戰士,山高醫生走過了一條自我完善的路,行醫十年,他總結了自己的行事原則:
「永不妥協,準備充分,不斷自我反省,不達完美永不罷休!」

所謂仁者無敵,說的大概就是山高篤行這樣的人吧!
