
現在生活越來越好,想吃什麼都有的買,口腔問題卻越來越嚴重,潰瘍、齲齒、牙齦炎、口臭等。這些口腔問題都和你的壞習慣有關,下麵誤區和壞習慣你有嗎?
1、刷牙圖省事
你每次刷牙的時間有2分鐘嗎?如果沒有,那很遺憾,你的牙齒並沒有「打掃」乾凈。每次只花幾十秒,牙齒是刷不乾凈的。
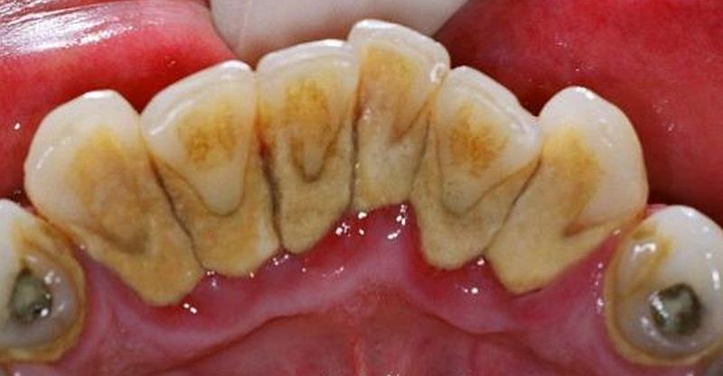
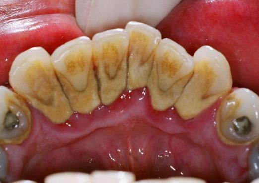
久而久之,時間一長,牙齒表麵積累了很多牙垢、牙結石,滋生細菌,不爛牙齒才怪。而且刷牙至少一天兩次,確保口腔健康。

2、牙齒當開瓶器
有人喜歡用牙齒開啤酒瓶,或者用牙齒撕開紙袋或是薯片的包裝袋,這會損害牙釉質,造成牙齒斷裂和牙根損傷,一次兩次可能感覺不出來,時間長了牙齒就保不住了。

3、飲食過辣過燙
進食過多柑橘類水果、辛辣食物或過燙的食物,口腔表麵的保護黏膜被破壞,細菌乘機大量滋生,導致潰瘍的產生。如果潰瘍不易癒合,可多吃點山芋、菠蘿和胡蘿蔔等富含維生素A的食物。

4、喜歡喝飲料
大部分飲料,包括碳酸飲料和其它軟飲,PH值通常在2.2-4.9之間,而牙齒表麵的琺琅質,溶解臨界值是5.5。
所以牙釉質長時間泡在飲料裏,會慢慢杯破壞。在醫學領域,這一現象被稱作「酸蝕症」,簡單來說就是牙齒長期廣泛接觸酸性物質,造成牙齒硬組織空洞,容易折斷。

5、喜歡用牙籤
塞牙很不舒服,所以很多人喜歡用牙籤來剔牙,可是尖銳的牙籤會引起急性牙周膜炎、牙齦膿腫,疼痛出血。
而且牙籤用的越多牙縫越大,更容易塞牙,導致局部牙周組織炎症和破壞,引起牙齦退縮、齲病、口臭,惡性循環。所以少用牙籤,多用牙線。

保護牙齒,重在平時,養成好的生活習慣很重要,好牙齒,吃嘛嘛香,祝大家都有一口好牙齒!
文章來源: https://www.toutiao.com/a6488848643477471757/
