懷胎十月對母親來講算是甜蜜的負擔,一方面是因為與愛人孕育愛的結晶,不過懷孕期間的身體不適,往往讓孕婦吃盡了苦頭,像是孕吐、水腫、頻尿等等的狀況,就足夠讓母體坐也不是、站也不是。所以多數孕婦大多會祈禱腹中的胎兒能讓自己好過一點,但這名法國寶寶卻不似一般小孩乖乖待在子宮的孕育處,反而在胎動時,一不小心踹破母親的子宮。

(示意圖,非本人)
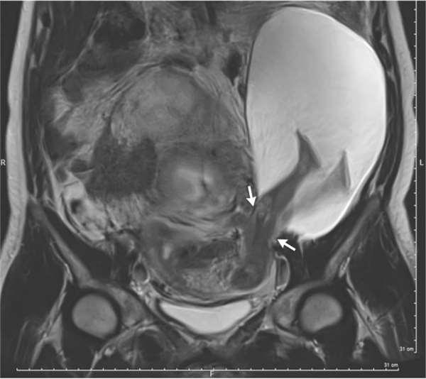
從這張核磁共振的影像中,可以看到這名生命力強烈的嬰兒,踹破母親的子宮,將腳伸出子宮外踢到其他器官,離奇的畫面就連醫生也被嚇壞了。

不久之前,當法國的婦產科醫生Pierre-Emmanuel Bouet替懷孕22週的孕婦產檢時,赫然發現到胎兒並沒有好好地待在子宮內生長,反而是兩腳伸直的穿出子宮外,罕見畫面讓醫生直呼:「從來沒看過!」就連醫學文獻上也僅有26起案例。
據悉,該名孕婦之所以會有這麼嚴重的子宮壁撕裂,起因在於先前的五次剖腹生產,雖然剖腹留下的疤痕會變厚,不過周圍的子宮壁會變得比以往脆弱,然而再懷孕後的壓力容易將子宮壁撐得更薄,於是在胎兒強勁的胎動後,往往會造成撕裂的狀況發生,所以沒有意外的,包著羊膜的寶寶的腳也就隨著滑出子宮的缺口。

(示意圖,非本人)
雖然狀況危險,不過雙方仍是打算讓胎兒繼續留在肚子,並且密集觀察,直到30週後,再進行剖腹生產,幸運的是最後母子均安,誕下了3磅重(1.36公斤)的健康男嬰,媽媽在醫院住了五天後康復出院,而母子也在小孩六個月大時進行複診,並無異狀,後來這起特殊的醫學案例也在《新英倫醫學雜誌》(The New England Journal of Medicine)中留下了紀錄。

看完這則新聞後,小編突然想到老一輩的人都說「剖腹產不要生超過三胎」,原來不是沒有道理的,希望這名折騰人的嬰兒長大後會好好孝順父母。分享出去,讓其他人看看這起奇聞吧,同時也期盼大家能好好疼惜生你、養你的媽媽!
Via
